Featured Post

TNTET 2017 BREAKING NEWS

TNTET 2017 BREAKING NEWS | ஆசிரியர் தகுதித்தேர்வு நடத்த அனைத்து ஏற்பாடுகளும் தயார்...ஓரிரு நாட்களில் முறையான அறிவிப்பு வெளியாகிறது...| விண்ண...

Wednesday, April 29, 2015

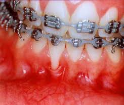
பற்களுக்கு போடும் கிளிப்

வளரும் குழந்தைகளுக்கு பால் பற்கள் அனைத்தும் விழுந்து, பின் நிலை யான பற்கள் முளைக்கும் அந்த‌
நேரத்திலேயே தேவைப்படலாம். சிலருக்கு அதற்கு முன் பாகவே செய்ய வேண்டியிருக்கலாம். முன்பக்கமாக போடுவதால் முக அழகு குறையும் என்றுநினைப்பவர்களுக்கு, மறைவாக பல்லுக்கு பின்பக்கமாகவும் போடக்கூடிய கிளிப் வகைகள் வந்துவிட்டன.  அதாவது பற்கள் தூக்கலாகவோ, உள்ளடங்கியோ, முன்னும் பின்னுமாகவோ இருந்தால் கிளி ப் போட்டு சரி செய்யலாம். கிளிப் போடுவது என்பது பற்களின் அமைப்பில் உள்ள பிரச்னையைப் பொருத்தது.
யாருக்கு எந்த மாதிரியான கிளிப் போடலாம் என்ப து அவரது பற்களைப் பரிசோதித்த பின்னரே தெரிய வரும். கிளிப் அணிந்திருக்கும் காலத்தில் பற்கள் பராமரிப்பில் அதிகக் கவனம் செலுத்த வேண்டும். கிளிப் இடுக்கு களில் உணவுத் துகள்கள் தங்க வாய் ப்புண்டு. இதற்கென உள்ள பிரத்யேக பிரஷ் கொண்டு துணுக்குகளை அகற்றவேண்டும்.
கிளிப் போடும் சிகிச்சை முடிய ஒன்றிரண்டு ஆண்டுகள் ஆகலாம். கிளிப் போட்டபிறகு நான்கு முதல் ஆறு வாரங்களுக்கு ஒரு முறை டாக்டரை சென்று சந்திக்கவேண்டும். அவரது ஆலோசனைப்படி, உணவுகளை எடு த்துக்கொள்ள வேண்டும்.
தாடையின் அளவு சிலருக்கு அதிகமாகஇருந்தால், முதலில் அதை சரி செய்ய வே ண்டும். பிறகு, அறுவைசிகிச்சை தேவைப்பட்டால், பல் மற்றும் தாடையின் அளவை எக்ஸ்ரேமூலம்  கண்டறிந்து, அதற்கேற்ப பல் மருத்துவரால் முடிவு செய்யப்படும்.

No comments: